As the sonographer was unable to get all the pictures that we needed at my last anatomy screen appointment: a face profile and a few heart pictures, I had to have my second session today. The baby cooperated more than s/he had last time so she was able to get many of the heart ones right away. To my delight she also took some 3D ones letting me us see baby’s face and one hand for the first time.

Though I had to wait over half an hour past my appointment time, as I had for the last one, and I coincidentally had the same sonographer, this appointment was very different from the first. I’d drank much less water on purpose and was only told to use the bathroom once near the end instead of multiple times.


With a cooperating baby all the necessary shots were taken quickly and the original shots were also repeated for reference and the 3D ones for fun, all in a third of the time of my first appointment.

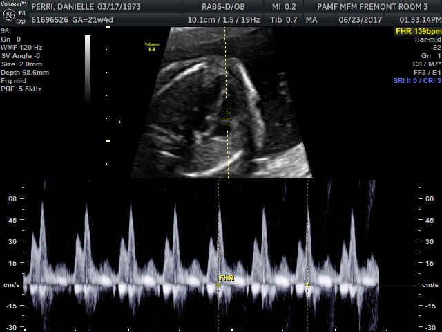
The baby’s heartbeat was 139 beats a minute, a hair slower than 140 last visit and both within the healthy range. I even was given a photo of the heart chamber and the heartbeat pattern on the commemorative CD they gave afterwards.

Looking back I think a few things may have contributed to baby cooperating more this time. The time of day was different, earlier today than last time. I had drank a lot less water. Additionally whereas the first office only had the background chatter of patients and staff, this one also had Muzak including a beautiful version of Maroon 5’s “Sunday Morning” which was our first dance song at our wedding. Any or all of these may have affected baby’s movement and positions.

Dr. D was the doctor this time and she said our baby was cute and healthy. As she had been told I was not choosing to learn the gender she did not look it up in my files so as not to accidentally tell me, which was sweet. Due to my age she recommended a follow up sonogram at both 30 and 36 weeks.
~ Danielle
